Table of Contents
Chair’s corner
Welcome to the first edition of the Department of Human Genetics (DOHG) Dispatch for 2024. Parents navigating the realm of rare diseases often feel like they're grappling with an incomplete puzzle. This sentiment resonates deeply, especially as we commemorate Rare Disease Day on February 29. This day was dedicated to heightening awareness and catalyzing change for the 300 million individuals globally affected by rare diseases, alongside their families and caregivers.
This year, we celebrate a remarkable milestone for the Department of Human Genetics (DOHG)—our 25th anniversary. This milestone offers a moment of reflection on our journey, from our beginnings as the smallest basic science entity within the School of Medicine to becoming one of Emory's largest basic science departments. Our department's unique combination of basic science and clinical service has advanced basic research and catalyzed novel therapeutic breakthroughs, making a substantial impact on clinical care.

Peng Jin, PhD
As we navigate an era where artificial intelligence (AI) is reshaping medicine, human genetics has never been more vital—it is the ground truth and bedrock for innovation. Integrating genetics into clinical practice is not a future possibility but a present necessity, central to medicine's transformative journey.
To chart our course forward, we are embarking on a strategic planning process this year. Your perspectives and contributions are crucial to this process. I invite each member of our department—faculty, staff, and trainees—to actively engage and share their insights. Your input is vital in steering our collective path forward. The Department Executive Committee is diligently preparing for this initiative, and we will soon provide more information.
I look forward to engaging with each of you personally later this year to discuss our shared vision. Together, we can elevate our department to new heights, harnessing our collective expertise and passion for genetics. As we embark on this collaborative journey, let's envision and craft a future that mirrors our collective goals and dedication to excellence in human genetics, encompassing research, education, and clinical care.
Diversity, equity and inclusion
Department activities
While preparing for this summer’s Next Gen high school internship program, Emily Allen is spreading the word about its success. For the summer of 2024, some changes in format are planned, such as having the interns rotate through wet lab experiences. A committee is working through more than 300 applications now.
Allen is giving a presentation about Next Gen at the American Association of Medical Colleges Group on Diversity and Inclusion’s Professional Development Conference (AAMC-GDI, Philadelphia, end of March).
We will also have an all-Emory plenary session on the Medical Genetics Workforce Pipeline at the APHMG (Association of Professors of Human and Medical Genetics, Washington state, start of May) meeting, with Kate Garber, Hong Li, and Meredith Fuchs.
The Book Club has been discussing Medical Apartheid by Harriet Washington. We will discuss the second half of the book April 25, 10 am. Contact: Taylor Pio.
Coming in the fall: the Warren Early Career Investigator seminar series will be shifting its schedule so that it is on Friday afternoons, alternating with Research in Progress.
School of Medicine/Emory-wide
Building Safe and Inclusive Research Environments (Zoom workshop from Faculty Development office) - April 15, 1 - 3 pm
April is Autism Celebration Month - Emory’s Autism Advocacy group has several events planned.
For Women’s History Month (March), Jimena Andersen and Rossana Sanchez Russo are both featured as “Rising Stars” by the School of Medicine.
The School of Medicine’s Diversity and Inclusion week is scheduled for May 20-24, with the theme: From Being to Belonging. Program and registration here.
A review of the Emory campus events held for Black History Month can be found here

Department spotlights

Hairy shrimp

Nudibranch
Victor Corces
Victor Corces is an underwater photography enthusiast. His favorite places to dive are Indonesia and the Philippines. The dark background is achieved by closing the aperture of the camera to ensure only selected objects are illuminated by the flash. He also uses an “optical snoot”, which he likens to an intense and narrow-beamed flashlight.
Corces came to Emory from Johns Hopkins in 2007. He was born in a small town in the Spanish region of Asturias and studied biochemistry in Madrid. You can read more about his background in this profile.
The Corces lab is interested in understanding how environmental effects on the epigenome interact with individuals’ genome sequence variations to elicit specific phenotypes. They address this broad question in the context of several different biological problems, ranging from autism spectrum disorder (ASD) and ALS/FTD to obesity.
Using brain organoids, investigators in his lab have been probing chemical exposure as partial contributing factors to ASD. They have also established mouse models of trans-generational BPA exposure, and are analyzing post-mortem human brains of individuals with ALS and FTD.

Marcy Schneider
I am an administrative assistant for the Newborn Screening Follow-up Program. I have loved being part of the team helping to save Georgia babies for over 18 years. I have educated many staff members at physicians’ offices by helping them understand the process. My attention to detail has contributed to excellent and accurate follow-up and the success of our program.
Education: B.S. Business Administration, The Ohio State University
What I do for fun:
I enjoy traveling, going to the theater, playing Mahjong, and most importantly spending time with my husband, children and grandchildren. I have received several awards and honors for my community volunteer work.
Maggie Tish
I received a B.S. in neuroscience from the University of Pittsburgh in 2017. Afterwards, I attended the University of Iowa and received a PhD in neuroscience in August of 2023. At Iowa, I worked in the lab of Dr. Joel Geerling in the Neurology department. I studied the neural control of micturition, with particular interest in how this is impaired in normal pressure hydrocephalus, leading to urinary incontinence. My research included designing and characterizing a mouse model of normal pressure hydrocephalus, pathway tracing and identification of neurons projecting to Barrington's nucleus, and the behavioral effects of cell type specific ablation and activation of those neurons.

In August I joined the lab of David Weinshenker as a postdoctoral fellow, where I am looking at the role of the locus coeruleus (LC) in Alzheimer's disease. We are currently breeding a transgenic mouse line which will accumulate neuromelanin in the LC. In addition, collaboration with Dr. Fikri Birey. we are creating LC organoids, which will be used to study how early tau pathology in the LC of AD patients may impair function of and contribute to pathology in other brain regions.
In my free time, I enjoy home improvement and DIY projects, spending time with family and friends, and boxing classes. I also enjoy spending time with my cats, Tex and Monty. I am excited for spring so I can spend more time walking along the beltline and exploring different parks and neighborhoods in Atlanta.
New publications
Peering inside AD brains via machine learning
Journal of Alzheimer’s Disease, March 5, 2024
From Jingjing Yang, PhD
Inferring Alzheimer’s Disease Pathologic Traits from Clinical Measures in Living Adults
For Alzheimer’s diagnosis and staging, the expense and limited availability of brain imaging and the invasiveness of obtaining CSF biomarkers make them difficult to be deployed at scale. Jingjing Yang developed a possible workaround, in a collaboration with Rush Alzheimer’s Disease Research Center.
The authors developed imputation models to predict Alzheimer’s disease pathology traits (amyloid-beta, tau tangles, global AD pathology, and binary pathologic AD) based on clinical measures at the last visit prior to death, using the Rush Memory and Aging Cohort. The panel of clinical measures include tests for motor/gait and cognition (such as Mini-Mental Status Examination), APO-E and TOMM40 status, demographic information and medication history. The models were validated with data from the separate Religious Orders Study, and then the authors walked back in time for participants to show the inferred traits were correlated with postmortem measurements and AD dementia risk.
The authors conclude: “This study is best conceptualized as an important first step highlighting that new machine learning analytic techniques can be used to infer AD-NC traits based on clinical measures collected in older adults.”
Cryptic exons clarify TDP-43 brain pathology
Acta Neuropathologica, February 3, 2024
Cryptic exon inclusion is a molecular signature of LATE-NC in aging brains
Congratulations to Zachary McEachin, PhD on his first co-senior authored publication as a faculty member, defining a signature of aberrant RNA splicing for a protein pathology. The first author was research specialist Mingee “Tony” Chung, with co-seniors Allan Levey and Nick Seyfried from Neurology/Biochemistry.
A pair of recent studies suggested that cryptic exons are translated to produce peptides that can be detected in cerebrospinal fluid, providing a clinically accessible biomarker for TDP-43 pathology. McEachin and colleagues show which peptides to look for.
Some acronym uncoding: LATE-NC (Limbic-predominant Age-related TDP-43 Encephalopathy neuropathologic changes) is the most common subtype of pathologic TDP-43 protein aggregates. It was first observed in frontotemporal dementia and ALS, and also been observed in Alzheimer’s and Lewy body dementia.

BaseScope™ in situ hybridization assay using a custom tSTMN2 probe to detect cryptic exon expression
Analyzing brain organoids from PMM2 deficiency, the most prevalent CDG
Cell Reports, March 1, 2024
From Steven Sloan, MD, PhD
Neural and metabolic dysregulation in PMM2-deficient human in vitro neural models
Phosphomannomutase 2-congenital disorder of glycosylation (PMM2-CDG) is a rare inborn error of metabolism caused by deficiency of the PMM2 enzyme, which leads to impaired protein glycosylation. It is considered the most prevalent CDG, with over 900 reported variants. Neurological symptoms, including developmental delay, are reported in most affected individuals.
Using PMM-deficient 3D human cortical organoids, the authors analyze impaired glycosylation, altered mitochondrial structure and abnormal glucose metabolism. The findings highlight potential limitations for emerging therapies (aldol reductase inhibitors, currently in clinical trials).

Alexia King and Tarun Bhatia in the Sloan lab contributed to this mostly Mayo Clinic study. Induced pluripotent stem cells were generated from patient fibroblasts by a core facility at Mayo. Lead author Tamas Kozicz is now at Mount Sinai.
Smell a predator? No worries
Neurobiology of Stress, February 2, 2024
From David Weinshenker, PhD
Genetic disruption of dopamine β-hydroxylase dysregulates innate responses to predator odor in mice
In this paper, the Weinshenker lab demonstrated the critical roles of norepinephrine and dopamine in mouse behavioral responses to predator odor.
A few highlights: within the first 10 min of predator odor exposure, dopamine beta-hydroxylase (Dbh)-negative mice displayed high levels of grooming, while controls exhibited robust defensive burying behavior. Dbh-negative mice often fell asleep in shredded bobcat urine-soaked material, whose odor would cause wild type mice to stress out. The findings have implications for understanding anxiety/PTSD as well as Toxoplasma gondii infection, which is known to alter responses to predator odor in a similar way and may alter dopamine metabolism in the host.

First author Joyce Liu completed her undergraduate degree in 2023 and is now a medical student at Duke.
Exploratory Clinical Trial of Dipraglurant for Blepharospasm
Movement Disorders, February 3, 2024
From Hyder Jinnah, MD, PhD
An Exploratory, Randomized, Double-Blind Clinical Trial of Dipraglurant for Blepharospasm
Jinnah was principal investigator for this Phase II feasibility study of dipraglurant, a negative allosteric modulator of mGluR5 (ahem, fragile X folks). All patients were seen at Emory. The drug was well-tolerated but the 15-participant study showed “no obvious impact on any of the measurement outcomes.” It did allow refinement of study design for future trials on this condition.
Sponsor Addex Therapeutics was developing dipraglurant for Parkinson’s disease with levodopa-induced dyskinesia. A larger PD-LID trial was terminated in 2022, because of pandemic-related recruitment troubles. Now the Swiss company has pivoted and is planning clinical trials for dipraglurant in post-stroke sensorimotor recovery.

Blepharospasm is a form of dystonia that affects the eyes and can cause vision problems. Blepharospasm can be treated with botulinum toxin, but alternatives are desirable.
First enzyme replacement therapy for arginase deficiency
eClinicalMedicine, January 12, 2024
From Rossana Sanchez Russo, MD
Efficacy and safety of pegzilarginase in arginase 1 deficiency (PEACE): a phase 3, randomized, double-blind, placebo-controlled, multi-centre trial
For more about this RCT at the patient and family experience level, see the Emory News Story. Sanchez Russo was first author on this paper, along with Gregory Enns of Stanford and investigators in seven countries: United States, United Kingdom, Canada, Austria, France, Germany, Italy. 32 patients enrolled, strong effects on plasma arginine but smaller effects on neurological/mobility symptoms, perhaps because of a floor effect and limited timeframe.
Editorial comment from Quinn:
This study illustrates the tension between biomarkers vs patient-centered outcomes, when it comes to clinical trials. The sponsor of the pegzilarginase trial received a 2022 “refuse to file” response from the FDA (it was approved in Europe). Stung, the sponsor sold rights to the enzyme product to another company, which has announced its plan to re-apply to the US FDA with additional clinical data. Industry experts have called the FDA’s apparent rigor in insisting on robust clinical outcomes “ivory tower thinking” that is inappropriate for a rare disease.

Scarlett Alonzo of Ellijay was the youngest participant in the PEACE study of arginase enzyme replacement therapy
Brainy mutations affecting the RNA exosome
Journal of Biological Chemistry, January 12, 2024
From Bing Yao, PhD
The putative RNA helicase DDX1 associates with the nuclear RNA exosome and modulates RNA/DNA hybrids (R-loops)
Since this paper is partly about R-loops, you know that postdoc Yingzi Hou in Bing’s lab will be involved in this collaboration with Anita Corbett’s lab in Biology.
Mutations in genes encoding several subunits of the ubiquitous RNA exosome are associated with neurological disorders impacting the cerebellum — the question is why? In this paper, DDX1 was identified as interacting with the RNA exosome subunit EXOSC3. The interaction appears to be nucleus-specific, but is lost upon induction of DNA damage.

Risk assessment tool for Fabry disease
Journal of Rare Diseases, January 4, 2024
From Dawn Laney and Jingjing Yang, PhD
FDrisk: development of a validated risk assessment tool for Fabry disease utilizing electronic health record data
Dawn Laney founded ThinkGenetic a decade ago, and this is an example of what the company wants to do for Fabry disease. Data were collected retrospectively from deidentified Fabry patients seen at Emory’s Lysosomal Storage Disease Center. Negative controls came from the Fabry Disease Diagnostic Testing and Education project database. Clinical features included demographic information, medical history, patient-reported symptoms and simple tests (such as proteinuria). The model was able to identify patients with risk scores above 50% who should be sent for additional diagnostic testing, with results for males showing higher specificity and positive predictive value.

Dawn describes ThinkGenetic as “a labor of love between IT and genetics to decrease the time to diagnosis for rare genetic conditions using artificial intelligence, genetics expertise, and big data.”
TDP-43 keeps genetic zombies at bay
Cell Reports, January 6, 2024
TDP-43 chronic deficiency leads to dysregulation of transposable elements and gene expression by affecting R-loop and 5hmC crosstalk
TDP-43 is one of those notorious aggregation-prone proteins familiar to researchers studying neurodegenerative diseases. It’s like amyloid and tau, but perhaps not as famous. TDP-43’s cytoplasmic aggregates are considered “the pathological hallmark” of ALS, and its aggregates also can be found in Alzheimer’s brain samples. For more, see the January 2024 Emory News story.
Bing says: “Our results not only provide a common mechanism underlying genome-wide DNA modification dysregulation in several neurodegenerative disorders involved in TDP-43 proteinopathies but also point to a general genomic role of RNA-binding proteins in normal brain functions and diseases.”

miR-29a: a worthy Alzheimer’s target
Molecular Neurobiology, November 22, 2023
From Thomas Wingo, MD and colleagues
Lowering Hippocampal miR-29a Expression Slows Cognitive Decline and Reduces Beta-Amyloid Deposition in 5×FAD Mice
The Wingo lab’s prior work had showed that higher miR-29a expression was associated with faster cognitive decline in humans; increased miR-29a may be a normal response to escalating neuroinflammatory load.
Delivered to the hippocampus in 5×FAD Alzheimer’s model mice, an AAV-based miR-29a “sponge” improved memory performance in the Morris water maze and fear conditioning tests. The sponge also significantly reduced hippocampal beta-amyloid deposition in 5×FAD mice and lowered astrocyte and microglia activation in both 5×FAD and WT mice. The authors report different downstream targets in 5×FAD and WT mice, and say delivery to other brain regions needs investigation. Interim conclusion: miR-29a and its downstream genes are worthy targets.
Cliffhanger ciliopathy
American Journal of Case Reports, November 22, 2023
From Jaime Vengoechea Barrios, MD and co-authors from Renal Division
Autosomal Recessive Adolescent Syndromic Nephronophthisis Caused by a Novel Compound Heterozygous Pathogenic Variant
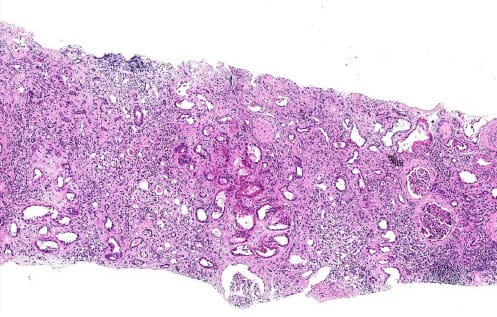
19-year-old woman with two pathogenic variants in NPHP3 (encodes ciliary protein, part of Wnt pathway), resulting in nephronophthisis: advanced kidney and liver disease. The patient is “currently listed for simultaneous liver/kidney transplant.”

Kidney biopsy with marked interstitial fibrosis and tubular atrophy (IFTA)
DMD variant: heart failure without muscular dystrophy
American Journal of Medical Genetics Part A, November 13, 2023
From Rana Al-Jaberi, MD and Jaime Vengoechea Barrios, MD
Isolated cardiomyopathy in a pathogenic X-linked in frame hemizygous DMD exon 49 deletion: A rare presentation with normal creatine kinase levels and absence of musculoskeletal symptoms
Case report describes a patient, previously a healthy marathon runner, who came to the hospital with acute heart failure and atrial fibrillation. His LV ejection fraction was 14% (very low). In the hospital, he had IV diuresis and medical therapy (amiodarone, milrinone and metoprolol), underwent cardioversion and later had a cardiac ablation to resolve atrial fibrillation. His ejection fraction was restored, and he was back engaging in aerobic exercise and weightlifting three times per week.
Our medical geneticists first used a 92-gene cardiomyopathy/arrhythmia panel, and then DMD-specific testing through exon arrays from GeneDx, to find that the patient had a pathogenic deletion in DMD exon 49. Deletions in exon 49 mostly result in a mild Becker muscular dystrophy phenotype.

Brief mentions (collaborations)
De novo variants predicting haploinsufficiency for DIP2C are associated with expressive speech delay, American Journal of Medical Genetics A, Matt Walsh and Stephanie Wechsler contributing
De novo variants in DENND5B cause a neurodevelopmental disorder, American Journal of Human Genetics, Matt Walsh and Rossana Sanchez Russo contributing
Cumulative stress across the lifecourse and biological aging in adulthood, Psychosomatic Medicine, Karen Conneely contributor to study of epigenetic age vs life stress in CHDS DISPAR study
Characterization and visualization of tandem repeats at genome scale, Nature Biotechnology, Peng Jin part of report on Tandem Repeat Genotyping Tool and database
Inferring super-resolution tissue architecture by integrating spatial transcriptomics with histology, Nature Biotechnology, Jian Hu part of Penn study
Hereditary Colorectal Cancer Diagnosis by Next-Generation Sequencing, Current Protocols, Fabienne Ehivet + Christine Stanislaw contributed to this chapter from Madhuri Hegde
Transition of allele-specific DNA hydroxymethylation at regulatory loci is associated with phenotypic variation in monozygotic twins discordant for psychiatric disorders, BMC Medicine, Peng Jin part of Southern Medical University study
Brain methylome remodeling selectively regulates neuronal activity genes linking to emotional behaviors in mice exposed to maternal immune activation, Nature Communications, Bing Yao co-author of UCLA study
APOE loss-of-function variants: Compatible with longevity and associated with resistance to Alzheimer's disease pathology, Neuron — Evaluation of APO-E4 knockdown as therapeutic strategy for Alzheimer’s. Aliza and Thomas Wingo contributed to this study, led by Michael Greicius of Stanford.
The relationship between working memory and anxiety in individuals with early treated phenylketonuria (PKU), Neuropsychology, Meriah Schoen and Rani Singh contributed to this study from University of Missouri.
Evidence for locus coeruleus-norepinephrine system abnormality in military PTSD revealed by neuromelanin-sensitive MRI, Biological Psychiatry, David Weinshenker part of Canadian study
Increasing Ciliary ARL13B Expression Drives Active and Inhibitor-Resistant Smoothened and GLI into Glioma Primary Cilia, Cells, Tamara Caspary contributor
USP27X variants underlying X-linked intellectual disability disrupt protein function via distinct mechanisms, Life Science Alliance Juanita Neira contributed to this report on 10 individuals from nine families with variants in the USP27X gene. USP27X encodes a protein deubiquitylase with a role in cell proliferation and neural development.
Clinical and functional consequences of GRIA variants in patients with neurological diseases, Cell and Molecular Life Sciences + Clinical features, functional consequences, and rescue pharmacology of missense GRID1 and GRID2 human variants, Human Molecular Genetics Kate Garber part of monster Traynelis/Yuan studies of AMPA receptor/GluD receptor variants
Newly funded research
R01, NIMH, Fikri Birey Combines several state-of-the-art techniques with brain organoid systems. One avenue is “DNA memory devices” developed by Jay Shendure’s lab, known as DNA Typewriter and ENGRAM. Biological signals of interest such as NF-kB and Wnt can be coupled to the production of “search and replace” prime editing guide RNAs to encode insertional barcodes into individual cell genomes. |
R01, NHLBI, Karen Conneely Continuation of collaboration with Pradeep Natarajan at MGH. Will take advantage of the TOPMed (Trans-Omics for Precision Medicine) program, which has recruited 180,000 participants. |
R21, NIMH, Nisha Raj Will examine cAMP signaling, long a topic of interest in the fragile X field, along with the downstream FMRP/cAMP target doublecortin. Clinical trials of PDE4D allosteric inhibitor BPN14770/zatolmilast are active. PDE4 enzymes have long been seen as a target for cognitive enhancement, but clinical progress have been hindered by emesis/nausea side effects. |
“Hat trick” from Jimena Andersen:
· ALS Association, Characterization of a Human Model of the Cortico-Motor System to Study ALS
· ALS Cure Project, Assembloid and organoid approaches to modeling multi-cell type interactions
· Edward Mallinckrodt Jr. Foundation, Modeling amyotrophic lateral sclerosis using a novel human 3D multi-cellular Platform
Down Syndrome Research Conference
On March 9th, the Down Syndrome Parent Research Symposium was held at the new R. Randall Rollins Building in the School of Public Health. The conference was a huge success with almost one hundred attendees. The program, geared towards parents of a child with Down syndrome, connected Atlanta families with prominent researchers as well as local and national resources. The keynote speaker was Grace Key, the co-founder of the “Candidly Kind” clothing line and a DS advocate. Alongside her mother, Carrie Key, Grace prides herself on promoting kindness, strength, and philanthropy as pillars in their community, all of which she expressed eloquently during her speech.

From left to right: Jerry Wu, Amy Talboy, Linda Garcia, Sujata Bardhan, Jonathan Santoro, Grace Key, Andrea Videlefsky, Sheryl Arno
Researchers presented a variety of topics including GI issues, regression in Down syndrome, pediatric clinical care guidelines, autism in individuals with Downsyndrome and more. Dr. Amy Talboy reiterated the importance of the DS Clinic at Emory and provided updates on new pediatric clinical care guidelines. Sujata Bardhan and Linda Garcia from NICHD explained the INCLUDE project and current initiatives to increase training and mentoring opportunities in DS research programs. There were exhibitors and opportunities to sign up for research studies both locally (Emory and GA State) and from outside institutions such as Boys Town National Research Hospital and University of Illinois.
Tracie Rosser and the DS Research team plan to work with NIH and the DSAA to host future events including a conference in the Fall of 2024 specifically for Spanish speaking families. The symposium was sponsored by the Yellow Crayon Fund. The Yellow Crayon Fund was established in 2017 in memory of Joanna Elisabeth Stone and supports the clinical services, research, and educational outreach of the Down Syndrome Clinic at Emory University.
Rare Disease Day (February 29)
Outreach activities at Emory University Hospital

Zebras make an appearance!

More rare zebras!

For Rare Disease Day, we highlighted the experiences of Scarlett Alonzo and her family. Scarlett is a patient of Dr Sanchez and was the youngest participant in a clinical trial testing the first arginase enzyme replacement therapy. For more, see the Emory News story.
We also were able to catch up with Krissy Campbell, mother of Cameron Campbell. As a newborn, Cameron was diagnosed by our team more than a year ago with OTC (ornithine transcarbamylase) deficiency. This was just the start of his family’s journey; they had to come to the emergency department more than a dozen times in 2023, and Cameron finally had a liver transplant in January. Read more here.

Jimmy and Krissy Campbell, with their children Callie and Cameron
Editor’s note
DOHG technical editor Quinn Eastman is serving as newsletter editor. To reach him with questions, ideas or submissions for the Human Genetics Dispatch, please email [email protected]. Previous editions of Human Genetics Dispatch are archived here.

